What happens after implant healing is completed?
By this time, the implants would have integrated with the bone and you are ready for the next phase of making the artificial teeth.
You will return to your prosthodontist or restorative dentist to continue with the treatment, which will involve the following steps:
-
Impression taking of the implants, remaining natural teeth and gums.
-
Fabrication of the teeth in a dental laboratory by a highly skilled dental technician.
-
Trial fitting of the artificial teeth over the implants. The teeth will be matched in terms of color, shape and size. Sometimes, it may take several visits before achieving this.
-
Delivery of your new teeth.
-
Review and sealing of screw access holes, if any.
What are screw access holes?
There are two ways the new teeth can be secured to your implants:
Cement-retained – titanium components called abutments are firstly screwed onto the implants. The artificial teeth are then glued onto the abutments. Once cemented (Figure 19), it is virtually impossible to retrieve the crowns.
 |
 |
Figure 19: Healing cap (left) covering underlying implant. Cement-retained crown (right) secured onto implant |
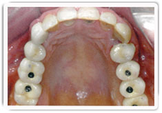
Screw-retained – instead of being glued, the artificial teeth are held onto the underlying abutments by screws. This requires openings (figure 20) to be made at the top of the artificial teeth for the screws to pass through. These holes are not visible when you smile as they are sealed with tooth-coloured filling material.
 |
Figure 20: Screw-retained crowns with access holes before being sealed with tooth- coloured fillings |
Which is better – cemented or screw-retained?
Screw-retained crowns offer retrievability should there even be a need to remove the crowns for repair before reinstalling them in your mouth. Cemented crowns cannot be removed without firstly being destroyed after which new crowns will have to be made thereby increasing the overall long term costs.
However, cemented crowns have the advantage of not having the access holes which may be a cosmetic issue to some.
The likelihood of having to retrieve the implant crowns is low as most of them function very well without giving any problems.
How long does it take to make the new teeth?
Depending on the complexity of the prostheses, it may take one week to a month to make them.
How soon thereafter can begin to eat and function?
You should be able to function immediately after the prostheses have been installed in your mouth. Your dentist may seal the screw access holes at a separate visit. He or she may also want to see you again for a final review.
|