I have lost my teeth. Do I have to replace them?
What happens if I do not?
The possible consequences include:
- Drifting of adjacent teeth and over-eruption of opposing teeth into the empty spaces resulting in food trapping and possible decay
- Difficulty in eating possibly resulting in indigestion
- Loss of youthful appearance
- Loss of lip support
- Difficulty in speaking especially if you have lost your front teeth
- Bone loss in areas where teeth used to be. This may lead to loss of facial contours which will affect your appearance
What are my options for replacing the missing teeth?
There are three main options, namely:
- Dentures
- Fixed bridges
- Implant-supported crowns or bridges
What are dentures?
Dentures are removable appliances with artificial teeth. There are two types:
- Partial dentures – if you have lost some of your teeth only. They usually come with visible metal hooks wrapped around surrounding teeth for stability and retention
- Complete dentures – if you have lost all your upper or lower teeth
They are made of wholly plastic or a combination of plastic and cobalt chromium, a form of metal.
 |
 |
| Figure 1: A plastic complete denture replacing all the missing lower teeth |
 |
Figure 2: A plastic lower complete denture seated in the mouth |
You need to remove the dentures daily for cleaning and they should not be worn during sleep. They may move during eating especially for complete lower dentures because they rest on a smaller surface of bone, thus making retention of the dentures problematic. Upper dentures also tend to interface with speech. You may have to take a while to get used to them. Dentures also tend to accelerate bone loss which make denture-wearing more uncomfortable in later years.
Dentures need to be adjusted and relined periodically and replaced every 3-5 years.
 |
 |
| Figure 3: A cobalt-chromium partial denture replacing only two front teeth. |
 |
What are bridges?
A bridge is essentially several artificial teeth joined together to replace missing ones. Your dentist has to make permanent changes by grinding the adjacent healthy teeth. This may compromise the life expectancy of these teeth but is necessary to create space to support a bridge which is essentially several artificial teeth joined together to replace the missing ones. Bridges are usually made of porcelain and gold and held onto the supporting teeth by dental cement. Through time, the cement may deteriorate allowing bacteria to attack the underlying teeth thereby causing dental decay and increasing the risk of additional tooth loss. Gum tissues also tend to shrink over time exposing the junctions between the bridges and supporting teeth.
Bridges need to be replaced about every five to ten years due to wear and leakage.
 |
 |
 |
 |
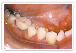
Figure 4: Adjacent teeth have to be reduced in size (lower left) to provide space for a three-unit bridge (lower right and far left) to be seated over them to replace the single missing tooth in the middle
(far right). |
 |
 |
| Figure 5: The gums have receded and exposed the junction between a ten-year old bridge and the underlying teeth making it unsightly. Leakage has also set in and caused decay. |
What are dental implants?
Dental implants are root-like structures made of titanium, a material which our body easily accepts. They come in all shapes and sizes.
They can be used to replace as few as one tooth or all the teeth in the mouth. Other applications include replacing missing eyes, ears, noses and fingers.
How do dental implants work?
Implants are artificial roots which are inserted into the bone to replace the natural roots you have lost. A strong bond is formed between the implants and the bone over several weeks or months. The implants provide a stable foundation for crowns, bridges or dentures which are placed over them. An abutment is the interface that connects the new tooth to the implant.
Due to the extreme stability of the implants, the new teeth are very firm and make eating and chewing feel as natural and comfortable as your original teeth. They can also be made to look very real too. Implants also slow down none loss.
 |
 |
 |
| Figure 6: Diagram (right) showing the similarities between an implant-supported crown and a natural tooth. Such a crown (below) does not require the adjacent teeth to be ground down unlike conventional fixed bridges. |
How many teeth can implants replace?
They can be used in all kind of situations even if you have lost only
- One tooth
- Several teeth or
- All the teeth
What is the track record of dental implants over the long term?
They have been scientifically tested and documented for over forty years. The long term success rate is as high as 95%.
What are the advantages of dental implants therapy?
It is an advanced treatment that most closely mimics natural teeth in look, feel and function such as speech and chewing.
Implant- supported teeth will not move during function unlike non-implant- supported dentures.
It minimizes bone loss.
It minimizes changes to adjacent healthy teeth.
It preserves facial contours and appearance. |