| Can you show me some examples of implant- supported teeth? |
Case 1
A 40-year old gentleman complained of eating difficulties as he had lost his molars on the upper and lower right side. Implants were inserted as shown in the radiographs. Porcelain crowns were then made (Figure 7) and cemented over the implants. In this case, the adjacent teeth also needed new crowns as they had broken down but the roots were still intact and implants not needed. The appearance of the new crowns was matched to his other natural teeth.
Figure 7: Implant-supported and conventional crowns can be made almost indistinguishable from natural teeth
Case 2
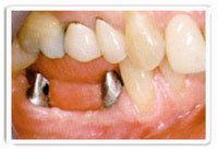
A 35-year old Chinese lady initially had a 5-tooth long fixed bridge at the upper right side. The bridge kept dislodging and eventually broke as the span was too long. She opted for three implants to be inserted and new crowns made over them (Figure 8). The two adjacent teeth that used to support the bridge were unfortunately damaged and needed new crowns too. She now has five new crowns each supported by either a natural tooth or an implant. The appearance was matched to the opposing lower teeth. Had she placed implants at the beginning, it would not have been necessary to involve the adjacent teeth.
Figure 8:Photos showing the similarities between implant-supported and conventional crowns.
|
Case 3
A 28-year old Caucasian lady fractured her front tooth during sports (Figure 9). The tooth had to be extracted and an implant was placed immediately. It was initially covered by a temporary plastic crown. Six months later, the final crown was made to match the adjacent teeth.
|
 |
 |
 |
| Figure 9:This lady had her broken tooth extracted (top left), implant inserted (top right) and a temporary crown places all within the span of two hours. This protocol enabled her to have a replacement tooth on the same day she lost her natural one. The final crown (bottom) was made six months later after the wound had healed completely. |
|
Case 4
A 50-year old expatriate banker did not like the look of his 3-unit bridge which was only ten years old (Figure 10). The gums had receded and exposed the unsightly margins. Decay had also set in. He realized that when one part of a bridge failed, the entire bridge had to be replaced thereby making the three long term cost rather high. He opted to separate the three teeth by having an implant inserted in the middle. Highly aesthetic all-porcelain crowns were then made over the teeth and implant. He also opted for a screw-retained implant crown which allows it to be unscrewed for maintenance and repair. This means that he is unlikely to need to replace that crown ever again.
Figure 10: An implant was placed in the middle and three new individual crowns replaced the aging three-unit bridge.
|
Case 5
A 16-year old Caucasian girl had a congenitally missing upper left lateral incisor (Figure 11). This means she was never born with it. Braces were used to realign her other teeth and create a space for a normal replacement tooth. An implant was inserted into the space and an all-ceramic crown was made over it. Her self-confidence has never been better ever since.
|
|
| Figure 11:This teenage girl no longer had to be self-conscious about her missing tooth after an implant was inserted. |
Case 6
A 48-year old Caucasian lady had a 3-unit bridge on the lower right side (Figure 12). After several years, it started to get loose at one end. It was impossible to remove the entire bridge without damaging it. As she preferred to reuse the bridge, time was allowed to pass with the hope that the other side would eventually loosen. Unfortunately, the underlying teeth became so badly decayed that they had to be extracted. Two implants were inserted with much difficulty as there was hardly any bone left. Eventually, a new 3-unit implant-supported bridge was made.
|
 |
 |
 |
| Figure 12:Implants are normally placed parallel to each other in order to accommodate a bridge but the lack of bone in this case resulted in the implants being placed otherwise. Special components had to be used before the new bridge could be seated. |
|
Case 7
A 46-year old German gentleman lost all his upper and some of his lower teeth. He had been wearing dentures for many years and found them uncomfortable. His oral surgeon in Germany placed eight implants in the upper jaw (Figure 13). As he was on a round-the-world tour, he decided to have his upper teeth made in Singapore. Full-arch fixed implant-supported prostheses were fabricated and secured onto the implants by screws. He is now planning to do the same for the lower jaw.
|
 |
 |
 |
 |
| Figure 13: The implants were placed in Germany and the new upper bridge incorporating thirteen teeth were made in Singapore. The seamlessness in treatment over wide geographic distances facilitates patients’ mobility without compromising the standard of care during and after treatment. |
|
Case 8
A 59-year old Chinese lady constantly had problems with the many sets of upper dentures made for her. The pain and discomfort she experienced was due to trauma and bone loss arising from the bite of her lower natural teeth against her gums through the upper denture. Three implants were placed to support a special bar and denture attachment (Figure 14). The use of the bar significantly improved the retention of her new upper denture and prevented trauma to her gums. She is finally able to enjoy all the food that she likes.
|
 |
 |
| Figure 14: A horizontal metal bar (left) connects all the three implants in the upper jaw. An over denture (right) has an internal attachment that allows it to grip the bar for greater retention and stability. The over denture can be removed for daily cleaning. |
|
| page | 1 | 2 | 3 |